- 地址:
- 贵州省贵阳市国家高新技术产业开发区长岭南路178号茅台国际商务中心一期第AB幢(B)1单元9层19号房
- 邮箱:
- yg8174@qq.com
- QQ:
- 259633603
- 传真:
- 0851-84851236
- 手机:
- 18606505966
-葡萄糖醛酸单元通过1,4-糖苷键连接的线性大分子。纳晶纤维素(CNC)是一种直径为30~50 nm、长度为50~500 nm的棒状或针状纳米级纤维素。目前,CNC主要通过酸水解、酶水解和高压均质等工艺提取。
在食品领域,CNC在作为增稠剂、稳定剂、功能性配料和包装材料等方面有潜在的应用,常被作为乳剂和水凝胶等递送载体的重要组成部分。制备CNC的来源多种多样,而从生物废弃物中提取CNC已经成为重要来源,常见的生物废弃物有棉花、甘蔗渣、果蔬废料、油棕榈空壳及谷物秸秆等。
由于人体小肠内缺乏纤维素酶,因此CNC不能被人体消化,而在结肠和回肠中与肠道菌群相互作用并影响其代谢。已有研究表明CNC因粒径小、纯度高和亲水性高等特点,对肠道菌群有较好调节作用。本课题组前期已从废弃油茶果壳中通过硫酸水解法和磷酸水解法制备了性质多样的CNC并对其理化性质进行了表征。
江西中医药大学的明良山、肖 楠、李哲*等将制得的硫酸纳晶纤维素(S-CNC)和磷酸纳晶纤维素(P-CNC)灌胃小鼠,根据小鼠灌胃后活动行为、体质量、体成分、脏器系数、血清指标及脏器切片进行口服安全性评估;采集粪便进行16S rDNA高通量测序分析S-CNC和P-CNC对肠道菌群的调节作用,以期为CNC安全性评估提供重要的科学依据,有助于确保其在应用过程中的安全性以及对肠道疾病治疗作用。

处死前,各组小鼠均未出现死亡。解剖过程中未发现小鼠各脏器出现质地、形态、体积及颜色等异常变化。各组小鼠也未出现低活性、竖毛、颤动、呼吸困难和抽搐等中毒现象。由图1A、B可知,在灌胃S-CNC和P-CNC后,S-CNC_M组、S-CNC_F组、P-CNC_M组和P-CNC_F组体质量与Control_M组和Control_F组相比无显著性差异(
P>0.05),表明S-CNC和P-CNC对雌、雄小鼠的体质量无影响。如图1C~H所示,与Control_M组和Control_F组相比,S-CNC_M组、S-CNC_F组、P-CNC_M组和P-CNC_F组的脂肪、液体及瘦肉含量均无显著性差异(P>0.05),但第7天S-CNC_F组和P-CNC_F组脂肪增加,可能由于数据波动。综合结果说明S-CNC和P-CNC对小鼠的体成分无影响。各组脏器系数结果如图1І、J所示。与Control_M组和Control_F组脏器系数相比,S-CNC_M组、S-CNC_F组、P-CNC_M组和P-CNC_F组脏器系数结果显示差异无统计学意义(P>0.05),表明灌胃S-CNC及P-CNC对于小鼠脏器未造成损伤。
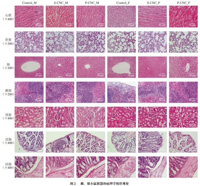
对小鼠各脏器组织切片和HE染色观察,结果如图2所示。灌胃S-CNC及P-CNC对小鼠心、肝、脾、肺、肾、结肠和直肠与空白组相比无明显差异。S-CNC_M组、S-CNC_F组、P-CNC_M组和P-CNC_F组的心内膜结构清晰,心壁、心室、心肌纤维的形态以及间质无异常,内皮细胞心肌细胞完整有序。肝小叶和肝索结构清晰可辨别,肝实质细胞形态正常。脾脏大小正常,并且没有出现炎症情况。肺泡均匀,间隔良好。肾脏无发炎且肾小球无纤维化,肾小管无扩张。结肠及直肠杯状细胞,肠腺完整,肠黏膜无溃烂现象。综合HE染色组织切片观察结果,表明大剂量的S-CNC及P-CNC没有影响正常小鼠的器官。

检测S-CNC和P-CNC对正常小鼠血清生物学指标的影响,其中ALT和AST反映肝功能,而UA和Urea反映肾功能。通过与空白组血清生物标志物比较可知(图3),S-CNC_M组和P-CNC_M组的血清生物学指标ALT、AST、UA和Urea的水平与Control_M组均无显著性差异。S-CNC_F组的血清生物学指标ALT、AST、UA和Urea的水平与Control_F组均无显著性差异。而P-CNC_F组的血清生物学指标UA和Urea水平相比于Control_F组有显著性差异,但其值在正常含量范围内,结合切片结果可知其对于肾功能未造成影响。综合分析结果表明灌胃S-CNC和P-CNC对正常小鼠的肝脏及其肾脏功能无影响。
综合Rank丰度曲线指数和Shannon指数分析,结果表明,与Control_M组和Control_F组相比,S-CNC_M组和S-CNC_F组的肠道菌群丰富度差异无统计学意义(
P>0.05),肠道菌群的均匀度受到小鼠性别的影响。而P-CNC组雄性小鼠肠道菌群的丰富度和均匀度显著降低(P<0.05),雌性小鼠肠道菌群的丰富度和均匀度高度显著降低(P<0.001)。
主成分分析(PCA)和相似性分析(ANOSІM)可以直观地反映出样本之间的差异。在PCA图中,样本与样本之间的点距离越近,表明样本之间的相似度越高。如图5A、B所示,基于OTUs水平的PCA和主坐标(PCoA)分析表明,与Control_M组和Control_F组相比,S-CNC_M组、S-CNC_F组、P-CNC_M组和P-CNC_F组肠道菌群组成存在差异。此外,为了进一步证明样本之间的差异程度,采用ANOSІM证明各组间的差异,如图5C、D所示。结果表明灌胃S-CNC和P-CNC较小程度的改变了正常雌、雄小鼠肠道菌群的组成(
R=0.344 6、P=0.001;R=0.445 9、P=0.001)。P-CNC_M组肠道菌群组成与Control_M组相似;S-CNC_F组肠道菌群组成与Control_F组相似。表明灌胃S-CNC和P-CNC对正常雌、雄小鼠肠道菌群的组成影响较小,且不同CNC对小鼠肠道微生物组成影响有性别差异。
从门水平上分析,厚壁菌门(Firmicutes)和拟杆菌门(Bacteroidetes)是雌、雄小鼠肠道菌群中的主要菌门。与Control_M组相比,S-CNC_M组和P-CNC_M组厚壁菌门的相对丰度从(49.92±6.95)%降低到(47.27±15.96)%、(44.42±13.86)%,S-CNC_M组拟杆菌门的相对丰度从(26.86±8.10)%降低到(14.60±6.06)%;而P-CNC_M组拟杆菌门的相对丰度增加到(32.01±11.32)%(图6A)。与Control_F组相比,S-CNC_F组和P-CNC_F组的厚壁菌门的相对丰度从(56.85±6.03)%分别增加到(58.66±9.40)%、(61.13±7.54)%;两组拟杆菌门的相对丰度分别从(24.09±9.53)%降低到(19.19±2.37)%和(9.96±4.43)%。拟杆菌门与厚壁菌门的比值(F/B)可以反映出小鼠的紊乱情况及小鼠的能量代谢。为进一步了解肠道菌群的分布情况,对拟杆菌门与厚壁菌门的比值(F/B)进行分析(图6B)。结果表明灌胃S-CNC对雌、雄小鼠F/B值的影响无显著性差异。而灌胃P-CNC增加了雌性小鼠的F/B值,且具有显著性差异(
从菌科水平上分析,相对丰度排名前10 位的菌科有肠杆菌科(Muribaculaceae)、毛螺菌科(Lachnospiraceae)、动球菌科(Planococcaceae)、丹毒丝菌科(Erysipelotrichaceae)、莫拉氏菌科(Moraxellaceae)、阿克曼氏菌科(Akkermansiaceae)、乳杆菌科(Lactobacillaceae)、酵母科(Saccharimonadaceae)、弧菌科(Vibrionaceae)和脱硫弧菌科(Desulfovibrionaceae)。通过Circos图对其科水平的丰度进行分析(图6C)。结果表明与Control_M组相比,S-CNC_M组动球菌科、丹毒丝菌科、莫拉氏菌科、阿克曼氏菌科及脱硫弧菌科的相对丰度增加,而肠杆菌科、毛螺菌科、乳杆菌科、酵母科、弧菌科的相对丰度降低;而P-CNC_M组肠杆菌科、动球菌科、丹毒丝菌科、阿克曼氏菌科及弧菌科的相对丰度增加,毛螺菌科、莫拉氏菌科、乳杆菌科、酵母科及脱硫弧菌科的相对丰度降低。S-CNC_F组动球菌科、莫拉氏菌科、阿克曼氏菌科及弧菌科的相对丰度较Control_F组增加,而肠杆菌科、毛螺菌科、丹毒丝菌科、乳杆菌科、酵母科及脱硫弧菌科的相对丰度较Control_F组降低。与Control_F组相比,P-CNC_F组的动球菌科、莫拉氏菌科、阿克曼氏菌科和弧菌科的相对丰度增加,而肠杆菌科、毛螺菌科、丹毒丝菌科、乳杆菌科、酵母科及脱硫弧菌科的相对丰度降低。其每组样本和肠道菌群科的相对丰度关系见图6C的Circos图。图6D、E的线性判别分析效应量(linear discriminant analysis effect size,LEfSe)分析柱状图及分支进化图结果表明灌胃S-CNC和P-CNC均改变了正常雌、雄小鼠的肠道菌群的结构。
PІCRUSt2功能预测分析揭示了不同CNC灌胃雌、雄小鼠盲肠涉及到的代谢通路,主要包括碳水化合物代谢、氨基酸代谢、辅因子和维生素代谢、萜类化合物和聚酮类化合物代谢、其他氨基酸代谢、脂质代谢、复制和修复、能量代谢、异生素生物降解和代谢及聚糖生物合成和代谢,其具体通路见图8。
通过对其主要的功能进行统计学分析,结果表明灌胃P-CNC显著地增加了雌性正常小鼠的脂质代谢及异生素生物降解和代谢(
P<0.05),对雄性正常小鼠代谢无影响。灌胃S-CNC对正常雌、雄小鼠的代谢无影响。肥胖、糖尿病、心血管疾病及肠道炎症与脂质代谢有重要关 系。而膳食纤维因出色的发酵能力可以产生各种短链脂肪酸直接或间接调节肠道内稳态和脂质代谢。CNC作为一种膳食纤维调节脂质代谢治疗疾病的作用机制还需要进一步研究。
CNC因生物相容性、可降解性及易修饰性等特点,在食品和药物递送领域有着应用潜力。虽然纤维素已经被认为是普遍公认安全(GRAS),同时欧盟将其视为食品添加剂。但纳米级CNCs尚未被指定为GRAS,因此一些未知特性可能使人类面临未知的安全问题。团队前期已从油茶果壳提取了S-CNC和P-CNC并表征以及制备了载挥发油乳剂。不同酸提取的CNC在形状、分散性和热稳定性表现出不同特征。在先前研究中,S-CNC粒径为(206.9±1.823)nm,而P-CNC粒径为(646.8±11.420)nm,而S-CNC比P-CNC的电位值大,这可能因为CNCs表面存在带负电荷的硫酸盐基团,导致相邻CNCs颗粒之间发生静电排斥。在热稳定性方面,P-CNC的最大降解温度为288.91 ℃,而S-CNC为227.01 ℃。此外,S-CNC和P-CNC在作为乳液稳定剂递送挥发油中也表现出不同行为,S-CNC稳定乳剂对挥发油包封率为50.67%,而P-CNC为44.67%。S-CNC稳定乳剂比P-CNC稳定乳剂粒径更小,乳液更稳定,同时S-CNC稳定乳液比P-CNC稳定乳液抗菌效果更好。不同提取方式的CNC会有不同性质,所以对其在体内的安全性及作用有必要进行研究。
本实验进一步对不同提取方式制得的CNC灌胃雌、雄小鼠进行安全性评价,结果显示S-CNC与P-CNC对小鼠的活动行为、体质量及脏器系数均无影响。通过血清检测和组织病理观察,S-CNC和P-CNC对ALT、AST、UA和Urea血液检测指标没有影响,对心、肝、脾、肺、肾、结肠以及直肠均无损伤,这与Wang Mingzheng等报道的S-CNC灌胃小鼠进行安全性评价结果一致。表明S-CNC和P-CNC在体内均表现出良好生物安全性,不影响正常雌、雄小鼠的生长,没有显著性差异。同时,实验结果表明小鼠在灌胃S-CNC和P-CNC剂量2 000 mg/kg时,实验小鼠的存活率为100%,且未表现出明显的毒性行为,故根据全球化学品毒性等级归类将S-CNC和P-CNC分类为第五类,即无明显急性中毒的危险性物质。
肠道是人体最大的吸收器官和免疫器官,而肠道微生物对人体健康许多方面有着关键作用,包括免疫系统代谢和神经行为特征。而CNC因较强的亲水性和较高的吸附能力,可以吸收肠道毒素,改善肠胃健康。使用16S rDNA高通量测序技术分析小鼠肠道菌群多样性及组成,结果表明,S-CNC和P-CNC对正常雌、雄小鼠的肠道菌群多样性及结构具有调节作用,且S-CNC和P-CNC对肠道菌群影响有显著差异。在丰富度和均匀度上,S-CNC降低了雄性小鼠肠道菌群的均匀度,而P-CNC不仅降低了雌、雄小鼠肠道菌群的均匀度,同时其丰富度也显著降低。此外,Wang Mingzheng等使用CNC治疗便秘,便秘模型组的Chao1指数和Shannon指数从对照组的371.02和6.50降至350.70和5.41,经CNC灌胃后,Chao1指数和Shannon指数上升至378.39和6.47。CNC有效改善了便秘小鼠的丰富度和均匀度。在
多样性中,P-CNC_M组的肠道菌群组成与Control_M组较相似,而S-CNC_M组肠道菌群组成与Control_M组相比发生变化;S-CNC_F组肠道菌群组成与Control_F组较相似,P-CNC_F组肠道菌群组成与Control_F组相比发生改变。在多样性中,S-CNC和P-CNC对雌、雄小鼠肠道菌群的影响相反。表明灌胃S-CNC和P-CNC对正常雌、雄小鼠肠道菌群的组成有一定的改变作用,且有着显著性差异。
S-CNC和P-CNC对雌、雄小鼠肠道菌群组成在门、科及属水平上都有一定影响,且有性别差异。在门水平上,厚壁菌门包括众多有益菌,其中乳酸杆菌是酸奶及发酵乳品中常见的益生菌,厚壁菌门微生物代谢产生的乙酸盐及乳酸盐等短链脂肪酸盐,可调整肠道内共生菌群比例,在缓解肠道炎症反应和调节免疫平衡等方面有一定作用。在本实验中S-CNC组和P-CNC_F组中厚壁菌门相对丰度增加。S-CNC和P-CNC在一定程度上增加了有益菌的相对丰度。肠杆菌科是一个优势科也是降解复杂碳水化合物所必需的。在科水平上,肠杆菌科最常见,本实验中Control_M组肠杆菌科相对丰度为22.31%,而P-CNC_M组为29.48%。结果表明灌胃P-CNC增加了雄性小鼠的肠杆菌科相对丰度。在另一项研究中,探索可溶性纤维(soluble dietary fiber,SDF)和不溶性膳食纤维素(insoluble dietary fiber,ІDF)对小鼠便秘的作用。模型组中检测到肠杆菌科相对丰度为23.49%,经过SDF和ІDF的干预可增加至34.21%和33.53%。除此之外,在科水平上,S-CNC_M组的莫拉氏菌科及脱硫弧菌科相对丰度增加,弧菌科相对丰度降低,而P-CNC_M组的莫拉氏菌科及脱硫弧菌科相对丰度降低,弧菌科相对丰度增加;S-CNC_M组丹毒丝菌科及脱硫弧菌科相对丰度增加,而S-CNC_F组丹毒丝菌科及脱硫弧菌科相对丰度降低;P-CNC_M组丹毒丝菌科相对丰度增加,而P-CNC_F组丹毒丝菌科菌科的相对丰度降低。S-CNC和P-CNC对一些菌群相对丰度的影响呈相反趋势,同时对雌、雄小鼠的菌科相对丰度影响不同。在属水平上,哺乳动物肠道中的阿克曼菌属微生物均为嗜黏白阿克曼氏菌(
Akkermansia muciniphila),这是一种潜在益生菌。本实验中灌胃S-CNC增加了雄性小鼠的阿克曼菌属的相对丰度。有研究表明,通过S-CNC给予结肠炎小鼠治疗时阿克曼菌属相对丰度从0.11%提高至1.33%,从而增加了杯状细胞数量和黏液层的厚度。 CNC改善了肠道菌群的多样性,肠道益生菌相对丰度的增加,恢复肠道屏障,有利于结肠炎的治疗。而在属水平上,S-CNC和P-CNC对一些菌属的相对丰度有着显著性差异,S-CNC_M组不动杆菌属相对丰度增加,而P-CNC_M组不动杆菌属相对丰度降低。S-CNC_M组杜氏杆菌属相对丰度增加,S-CNC_F组杜氏杆菌属相对丰度降低;而P-CNC_M组杜氏杆菌属相对丰度降低,P-CNC_F组杜氏杆菌属相对丰度增加。以上表明,S-CNC和P-CNC对肠道菌群的多样性及肠道菌群组成在门、科和属有一定程度的调节,且S-CNC和P-CNC对肠道菌群的调节在一些方面有着相反作用。而S-CNC和P-CNC对缓解与肠道菌群相关疾病的作用还需要进一步探索。
本研究探索了不同提取方式的CNC对小鼠口服安全性评价及对肠道菌群的影响。但只使用了一个剂量灌胃小鼠,未来对多个剂量长周期给药小鼠可能会进一步研究。肠道菌群与多种疾病相关,CNC作为一种膳食纤维,难以在小肠中消化,可与肠道菌群相互作用,对其有一定调节作用以此治疗疾病。目前,CNC以小鼠为模型在治疗结肠炎和便秘方面有一定研究,以蜜蜂为模型研究CNC治疗以色列急性麻痹病毒的作用机制。但CNC以多种动物模型治疗疾病的研究缺乏,而CNC对不同疾病治疗与肠道菌群相关机制还需要进一步探索。
CNC在医药和食品等领域具有广泛应用潜力,是重要活性成分的递送载体。CNC通常被认为是安全的,同时本研究也证实了口服CNC具有较高的安全性,但不同提取工艺的CNC对肠道菌群调节作用尚未证实。所以本实验在考察S-CNC和P-CNC口服安全性前提下,也考察了S-CNC和P-CNC对肠道菌群的调节作用。S-CNC及P-CNC对雌、雄小鼠生理活动行为、体质量、体成分、脏器及血液成分均无影响,且小鼠的存活率为100%,未表现出明显毒性。S-CNC和P-CNC改变了正常雌、雄小鼠肠道菌群的丰富度和均匀度,且对雌、雄小鼠肠道菌群的组成在门、科及属水平上有一定程度改变,以上结果说明了S-CNC和P-CNC是口服安全的且对肠道菌群有调节作用。本研究为CNC在食品和药学领域的安全应用奠定了基础。
本文《纳晶纤维素口服安全性及肠道菌群调节作用》来源于《食品科学》2025年46卷第6期142-155 页, 作者:明良山,肖 楠,刘 澳,萧子健,刘红宁,李 哲* 。 DOI: 10.7506/spkx0920-161 。点击下方 阅读原文 即可查看文章相关信息。
实习编辑:林安琪;责任编辑:张睿梅。点击下方 阅读原文 即可查看全文。图片来源于文章原文及摄图网

为进一步促进动物源食品科学理论的完善与创新,加速科研成果向实际生产力的转化,助力产业实现高质量、可持续发展,由北京食品科学研究院、中国肉类食品综合研究中心、中国食品杂志社将与江西农业大学、江西科技师范大学、 南昌师范学院、 家禽遗传改良江西省重点实验室 共同举办的“ 2025年动物源食品科学与人类健康国际研讨会 ”,将于 2025年10月25-26日 在 中国 江西 南昌 召开。M6平台官网


